Vol. XXV, No. 2 - October 2018
Ryan McComb, DMD, MS
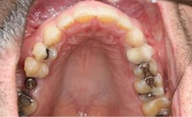
Using Clarity™ Aligners in Interdisciplinary Treatment to deliver esthetic solutions in collaboration with restorative specialists.
An error has occurred while submitting. Please try again later...
Your form was submitted successfully