Labial displacement of permanent maxillary canines is often associated with inadequate arch space¹,². A possible explanation is that the affected canines initially follow their natural path of eruption, which is usually slightly buccal to the arch line. As the required space for eruption in the correct position is blocked by the permanent first premolar and/or lateral incisor, the canines are likely to actively erupt toward the buccal or to remain impacted. Consequently, interceptive treatment is necessary to create the space required for the canine and guide it into the right position². Study results show that the inclination and the initial vertical position of unerupted labially displaced maxillary canines have a decisive impact on their likeliness of spontaneous eruption³.
The following clinical case outlines a treatment plan with an esthetic fixed appliance for labially displaced canines and crowding in a short period of time.
The patient was referred to our orthodontic office when she was eleven years old and had a late mixed dentition (Fig. 1). After clinical examination, the diagnostic records and a panoramic radiograph as well as a cephalometric X-ray were taken. The findings included an Angle Class II, Division 1 relationship, protrusion of the maxillary anterior teeth and labially displaced unerupted maxillary canines due to inadequate arch space. In the mandible, slight crowding and rotation as well as deviation of several individual teeth were observed.
Following the eruption of all permanent teeth, 3M™ Clarity™ Advanced Ceramic Brackets pre-coated with 3M™ APC™ Flash-Free Adhesive were bonded in the maxilla and mandible in November 2014 (Fig. 2). We selected the option with 3M™ MBT™ System prescription and 0.018 slot.
Experience shows that the use of brackets with APC Flash-Free Adhesive leads to fewer bonding mistakes in our orthodontic office. One of the biggest advantages, however, results from the fact that there is no need to remove adhesive flash. This makes the procedure more efficient and less stressful, while the risk of unintentionally displacing the bracket on the tooth is significantly reduced.
In the molar region, we placed 3M™ Victory Series™ Superior Fit Buccal Tubes and on the lower second premolars, 3M™ Victory Series™ Low Profile Brackets were employed. The first archwire in the maxilla was a round 0.014" Super Elastic NiTi archwire, while a 0.014" NiTi was the archwire of choice in the mandible.
The patient opted for elastic ligatures in the color screaming pink, which she had selected with the aid of the 3M Paint Your Smile web site. In order to prevent tipping of the first premolars, support uprighting of the roots and close the E-spaces, we made use of additional stainless steel Lacebacks between the maxillary first premolars and molars. In the course of treatment, the wires in the maxilla and mandible were changed to a 0.016" NiTi archwire. The second and third archwire changes were necessary in six-week intervals. The second archwire was a 0.016" x 0.016" NiTi and the third archwire a 0.016" x 0.022" NiTi to continue aligning and leveling.
Alignment was completed after seven months of treatment in June 2015 (Fig. 3). At this stage, rectangular heat-activated archwires (0.017 x 0.025" NiTi HA) were applied for levelling of the occlusal plane. The maxillary canines had already reached their correct vertical position in the arch. The arch form was nicely developed and the gaps opened by arch widening, derotation of the first molars in distal direction and distalization of the premolars. No intrusion and tipping of the premolars on front area was recognized. The patient selected a new color for the elastic ligatures (extreme green). See Figure 3a-e.
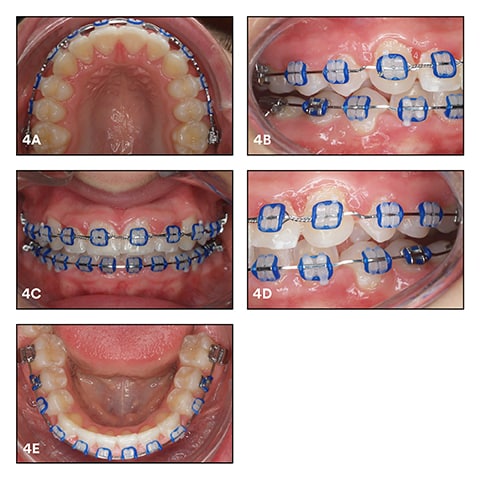
Another seven weeks later, we integrated a 0.017 x 0.025" SS archwire. During the following appointment in September, some finishing steps were added between the canines and the first premolars in both jaws for extrusion and anchorage (Fig. 4). In the maxilla, a steel ligature in a figure-eight pattern was applied under the archwire from canine to canine (13 to 23) to avoid gap opening during the start of treatment with Class-II elastics. We continued with Class-II elastics, followed by Class II with an up-and-down component until March 2016. See Figure 4a-e.
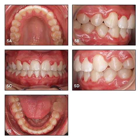
In March 2016, we carried out slight interproximal enamel reduction (stripping) in the mandible to solve Bolten discrepancy and avoid premature contacts in the anterior area. We used a powerchain for gap closure. Figure 5 shows the treatment outcome in June 2016 after bracket removal. Total treatment time was 18 months, and 12 appointments were required. One bracket repair on a lower second premolar (45) was necessary after eight weeks of treatment, so we assume this was not a bonding mistake. For the retention phase, the patient received fixed retainers and a removable orthodontic appliance. At a recall in October 2017, the situation was stable and no relapse had occurred. See Figure 5a-e.
The final result provides an attractive smile line. See patient image.
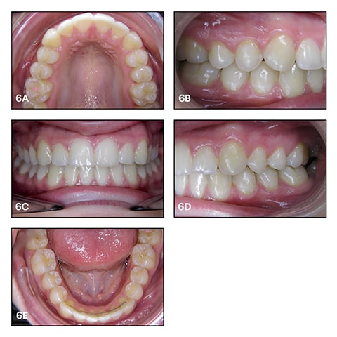
Images taken during a check-up in October 2017 revealing a successful treatment with stable outcomes. See Figure 6a-e.
By using Clarity Advanced Ceramic Brackets in combination with the selected archwires and ligatures, we were able to open the space for the upper canines and integrate them into the arch without intrusion of the other teeth. The torque with the ceramic was nicely expressed without any fracture of the ceramic bracket material. A nice Class-I relationship with good overjet and overbite was achieved. Finally, we succeeded in greatly improving the smile line of the patient.
¹ Stellzig A, Basdra EK, Komposch G. The etiology of canine impaction – a space analysis. Fortschr Kieferorthop 1994;55:97-103.
² Bhat ZI, Naik CD. Nonextraction management of the labially displaced canine. J Orthod Res 2015;3:141-5.
³ Smailienė D, Sidlauskas A, Lopatienė K, Guzevičienė V, Juodžbalys G. Factors affecting self-eruption of displaced permanent maxillary canines. Medicina (Kaunas). 2011;47(3):163-9.

Dirk Kujat graduated from Humboldt University of Berlin in 1999 and received his Dr. Med Dent. (DDS) degree in 2000. Subsequently, he worked as a dental practitioner in several dental offices and as a research fellow at the University Charité Berlin. In 2004, he earned a Master of Science in Orthodontics) from the Danube University Krems and obtained his certificate as an orthodontic specialist in June 2006. Since June 2012, Dirk Kujat is the owner of an orthodontic office (Mein Smile Kieferorthopädie) in Groß-Gerau, Germany. He will soon complete the postgraduate “Master in Lingual Orthodontics” program at the University of Valencia, Spain.
An error has occurred while submitting. Please try again later...
Your form was submitted successfully