girl smiling looking in mirror at orthodontist office

Hide your headgear. Not your smile.

  • 3M™ Forsus™ Class II Correction System in-mouth example

    Got an overbite? Most patients don’t like hearing those words, because they conjure images of cumbersome headgear. Strappy, awkward, noticeable – no one wants to wear it. But if you don’t, it stops working.

    Now, you can fix your overbite behind the scenes with 3M’s answer to headgear: the 3M™ Forsus™ Class II Correction System. A discreet alternative to traditional headgear, it works in combination with your braces to slowly align your teeth and jaw at the same time. Made up of a small stainless steel tube and spring, the Forsus Correction System is easily installed in one appointment. Best of all, the Forsus Correction System is designed with comfort in mind, facilitates good hygiene, and is completely hidden from view. So you can smile confidently even while you’re fixing your overbite.


What is an overbite and why does it need to be fixed?

An overbite is when the upper teeth cover the lower teeth when you bite down to a greater degree than normal. If it is not fixed, teeth may grind down and cause painful jaw problems down the road. Headgear is used to move teeth into place while also holding the jaw in place so it can grow in proper alignment with the upper teeth. Take a look at the difference it makes:

  • Pre-treatment profile
  • Post-treatment profile
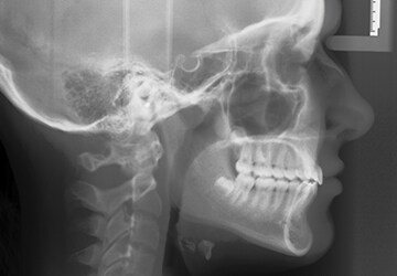
  • Pre-treatment x-ray
  • Post-treatment x-ray

The Forsus Correction System: hidden headgear where only the benefits are visible.

  • Comfortable

    The Forsus Correction System is designed with comfort in mind. Unlike traditional headgear, the Forsus appliance has a sleek design, with no external pieces. The Forsus Correction System also allows greater jaw movement than traditional headgear and includes a mechanism to keep the spring from poking into the inside of your cheek.

  • Convenient

    Traditional headgear must be put on daily and taken off while you eat or sleep. In contrast, the Forsus Correction System is installed once and continues working every hour of every day throughout your treatment. And all you need is one appointment for chairside installation. There’s absolutely no lab work and no follow up appointments involved. Best of all, this hidden headgear is easy to clean so you can get on your way to a perfect and healthy smile – with less fuss.

  • Confident

    Now you can fix your smile and your overbite with virtually unnoticeable treatment options from 3M. Used together with 3M™ Clarity™ ADVANCED Clear Braces or with the 3M™ Incognito™ Appliance System, the Forsus Correction System gives you a predictable, discreet way to fix your overbite and your teeth without large cumbersome headgear or conspicuous metal braces. Now you don’t have to wait until the end of your treatment to smile with confidence!

girl smiling with 3M hidden headgear used with clear braces
Are you ready to change your smile?

Choose the Forsus Correction System and see the difference it can make in your smile – and on your journey to get there!

FIND AN ORTHODONTIST